A Turnkey 
 Solution for  
 Brachytherapy
        
        Solution for
Brachytherapy
The BodyTom® Offers an Improved Brachytherapy Process
Help boost treatment plan turnaround, patient throughput, and departmental efficiency
Enjoy point-of-care scanning with the high performance and compact BodyTom®. Help reduce the time between therapy planning and delivery with real-time feedback for catheter or applicator placement. Effortless workflow for pre- and post-implant quality assessment.
Our complete Brachytherapy solution includes the Diacor Zephyr Brachytherapy transfer device and a cantilever style table. Using our scanner as guidance, you can implant radioactive sources directly to the treatment area. Our comprehensive Brachytherapy solution provides better visualization of detail to help avoid radiation doses in adjacent organs.

Clinical Benefits
How our turnkey solution can help your Brachytherapy team
 	Minimize Disruption 
      Eliminate the need for patient transport by acquiring high-quality CT scans directly in the Brachytherapy Suite.
  
       	Accommodate Most Body Sizes 
      Utilize stirrups, the large 85 cm bore and 60 cm field-of-view.
  
       	View Images Immediately 
      View 2D, 3D and MPR images instantaneously, with results rapidly transferred to OIS/TPS.
  
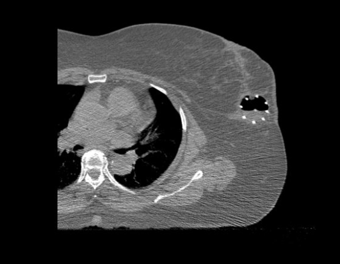
      Brachytherapy Image Gallery
 
	
           
   
	
           
   
	
           
   
	
           
   
	
           
  Key Features and Benefits
BodyTom®
 
      
      Synchronous and radiation delivery
Accommodates most patient sizes
Minimize disruption and reduce risk of injury due to patient transfer
Reduced risk of exposure to scatter radiation. Obviates expensive room build out.
No need for an additional power source
Reducing the need to build out a room and lose needed space and Operating Suites
      Key Features and Benefits
    
    
      BodyTom®
    
   
  Accomodates most patient sizes
      Minimize disruption and reduce risk of injury due to patient transfer
      Reduced risk of exposure to scatter radiation. Obviates expensive room build out.
      No need for an additional power source
      Reducing the need to build out a room and lose needed space and Operating Suites
      Synchronous therapy planning and radiation delivery
      Our Brachytherapy Solution Has People Talking
Treatment of cerebrovascular disease is a race against time, as it kills a large number of people worldwide and can cause paralysis in others. The main factor for reducing disability and death is a treatment 'time standard' within 270 minutes. These products save lives. Every minute counts.
                                    
                                Mount Sion Hospital
                                      
                                    Everest, NY
                                  Treatment of cerebrovascular disease is a race against time, as it kills a large number of people worldwide and can cause paralysis in others. The main factor for reducing disability and death is a treatment 'time standard' within 270 minutes. These products save lives. Every minute counts.
                                    
                                Dr. John Rolfstein
                                      
                                    Veterinary Specialties Group, OH
                                  Treatment of cerebrovascular disease is a race against time, as it kills a large number of people worldwide and can cause paralysis in others. The main factor for reducing disability and death is a treatment 'time standard' within 270 minutes. These products save lives. Every minute counts.
                                    
                                KU Medical Center
                                      
                                    Kansas City, MO
                                  Treatment of cerebrovascular disease is a race against time, as it kills a large number of people worldwide and can cause paralysis in others. The main factor for reducing disability and death is a treatment 'time standard' within 270 minutes. These products save lives. Every minute counts.
              Mount Sion Hospital
Everest, NY
Treatment of cerebrovascular disease is a race against time, as it kills a large number of people worldwide and can cause paralysis in others. The main factor for reducing disability and death is a treatment 'time standard' within 270 minutes. These products save lives. Every minute counts.
              Dr. John Rolfstein
Veterinary Specialties Group, OH
Treatment of cerebrovascular disease is a race against time, as it kills a large number of people worldwide and can cause paralysis in others. The main factor for reducing disability and death is a treatment 'time standard' within 270 minutes. These products save lives. Every minute counts.
              Dr. John Rolfstein
Veterinary Specialties Group, OH