CereTom® Elite Mobile CT Scanner
Truly Mobile Medicine
Mobile 8-Slice CT Scanner
Multi-department imaging
The CereTom® Elite is an internally shielded 8-slice small-bore mobile CT scanner that delivers high-quality non-contrast, contrast, CT angiography and CT perfusion scans in various patient care locations, such as neuro intensive care, pediatric, intensive care, OR and mobile stroke. Its combination of rapid scan time, easy-to-use interface, and immediate image viewing makes CereTom® Elite an indispensable tool for any clinician needing real-time, high-quality images. This scanner can be used in the hospital or a mobile stroke unit ambulance.

Key Features and Benefits
Reduces the risk of exposure to scatter radiation
Can be used throughout the facility
No need to add a specialty electrical system, saving the expense
Reduces the need to transfer patients and the number of staff needed for transfer
Reduces the need for expensive lead shielded room build out. Can be placed in any room.
•Intensive Care Unit
•Operating theatre (OR),
•Pediatrics,
•Radiology
•Emergency department
Key Features and Benefits
Reduced risk of exposure to scatter radiation
Can be used throughout the facility
No need to add a specialty electrical system, saving the expense
Reducing the risks involved with transferring patients and the number of staff needed for transfer
Reducing the need for expensive lead shielded room build out. Can be placed in any room
- Intensive Care Unit
- Operating Theatre (OR)
- Pediatrics
- Radiology
- Emergency department
Clinical Specialties
Where your patients will never have to leave their beds or rooms for imaging
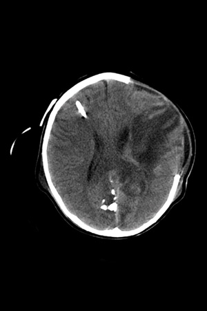
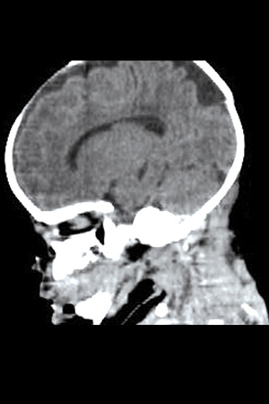
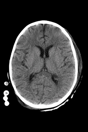
CereTom Image Gallery
CereTom Dimensions
.png)
CereTom Attributes
Performance
- 8-Slice
- 1.25mm slice thickness
- 512 x 512 image reconstruction
Versatility
- Integrates with all ICU beds and hospital gurneys
- Ability to perform axial, helical (CTA), and dynamic (CTP) scanning
- Battery powered
- Plugs into a standard wall outlet
Easy Integration
- Compatible with all PACS
- Wireless or wired connectivity to PACS
- Connectivity to Navigational Systems
Safety
- Reduces the need for transport of the patient
- Internally lead shielded front cover
- External lead safety curtains
- Safe for use in patient rooms
