Blog
Recent NeuroLogica Blog Posts
Insights, Information and Industry News
Latest Blog Post
Recent Press Release
Recent Blog Posts
Microstructure Analysis and Image-Based Modelling of Face Masks for COVID-19 Virus Protection
Aug 6, 2021 12:00:00 AM
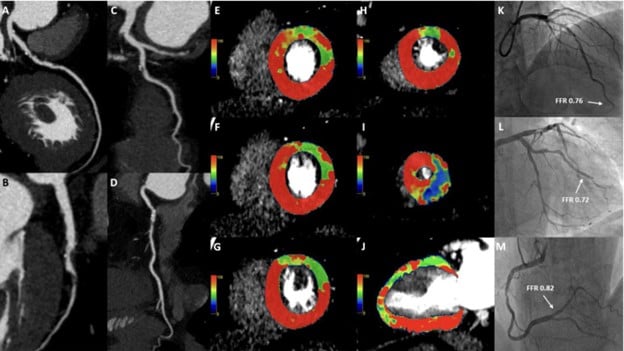
Deep Learning Enables Dual Screening for Cancer and Cardiovascular Disease
Aug 4, 2021 12:00:00 AM









